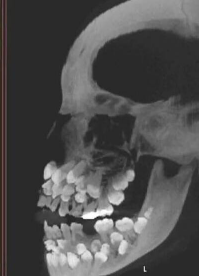
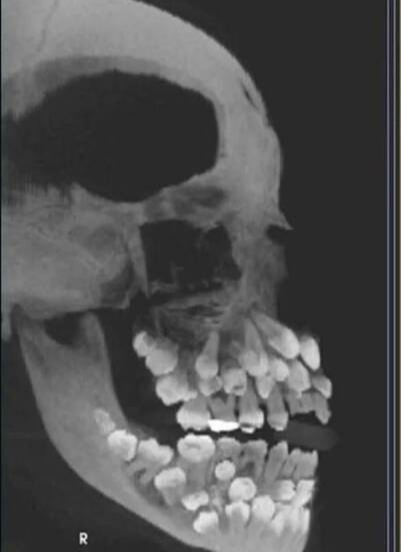
最近巴西有個 11 歲的小女童,因為乳牙遲遲不掉去看牙醫,沒想到這一看,直接讓醫生們集體驚呆。
本來以為就是個簡單的拔牙小事,結果 X 光片一出來,大家都傻眼了 —— 這個 11 歲的小女童女童嘴裡居然塞著 81 顆牙!
最近巴西有個 11 歲的小女童,因為乳牙遲遲不掉去看牙醫,沒想到這一看,直接讓醫生們集體驚呆。
本來以為就是個簡單的拔牙小事,結果 X 光片一出來,大家都傻眼了 —— 這個 11 歲的小女童女童嘴裡居然塞著 81 顆牙!
要知道,普通人一輩子也就兩套牙,乳牙 20 顆,恆牙 32 顆撐死了。
可這、小女童倒好,18 顆乳牙賴著不走,32 顆恆牙按時報到,還額外冒出 30 多顆「不速之客」,也就是醫生說的「多生牙」。這些額外的牙齒擠在嘴裡,簡直像在搞「牙齒大聯歡」。
這事兒還被巴西米納斯吉拉斯州胡伊斯迪福拉聯邦大學的研究團隊確認了,相關結果都登在了《美國齒顎矯正暨齒顏矯形學期刊》上,可見不是胡說八道的。
大家肯定會想,這是不是什麼遺傳病鬧的?
但檢查下來,那些容易導致多生牙的毛病,像鎖骨顱骨發育不全、加德納氏症候群之類的,她一個都沒中。
不過染色體檢查發現,她第 9 對染色體有部分片段「倒置」了,至於這跟牙齒太多有沒有關係,現在誰也說不準。
醫生們也十分苦惱,這些多生牙要麼躲在牙床深處,要麼長得跟正常牙齒差不多,想查出來不容易,拔出來風險更大,弄不好牙床骨都會受傷。
所以醫院趕緊把矯正、口腔顎面外科、牙周和贗復等好幾個科的專家都叫來,打算一起給她制定個長期治療計畫。畢竟這麼多牙擠在嘴裡,不光看著怪,後續麻煩肯定少不了。
希望這群醫生能想出好辦法,讓這孩子早日擺脫這「甜蜜的負擔」。
相關推薦
26 歲巴西女Juliana Marins 6 月 21 日於印尼林賈尼火山墜崖,救援時聽其呼救後因濃霧受阻,疑二次墜落,24 日證實傷重死亡,遺體於 600 米深峽谷被發現。
巴西戈亞斯州內羅波利斯一名男嬰加布里埃爾(Gabriel)出生時手握母親奧利維拉(Oliveira)的避孕環,其母使用該避孕方式近兩年(成功率超 99%),因孕期取環風險大未取出,事件引熱議,後附避孕環發明及好壞作用科普。
美軍違反國際法抓捕委內瑞拉總統馬杜羅,借反毒名義圖謀石油資源。其後殖民掠奪手法引發多重違法爭議,未來將面臨國內外諸多惡果,霸權信譽崩塌。
巴西37歲4孩爸切拉索馬參加度假村無手吃西瓜比賽(獎品薯條)時噎死,現場無醫護、救護車遲25分鐘到。遺孀斥度假村安排失當,將採取法律行動。
2026年1月3日,美國「絕對決心行動」突襲委內瑞拉捕獲馬杜羅,重現1989年捕諾瑞加舊事。此行動本質為地緣清場,踐踏主權違反國際法,衝擊中俄等國利益,加劇拉美動蕩,標誌美國從世界警察淪為黑道霸權,動搖全球秩序根基。
哈瑞寶可樂軟糖被驗出大麻成分,家長及兒童食用後出現頭暈、嘔吐等症狀,涉事批次已緊急召回。專家提醒市民立即停用並退貨,購買食品時務必核對批次資訊,確保飲食安全。
TikTok 博主 Christine Connell 疑因男友放屁感染大腸桿菌引發七年鼻竇炎,事件引發網民熱議。醫學專家指摘傳播途徑極不可能,並揭示醫院環境或免疫力低下才是高危因素。
2025 年日本米價暴漲,4 月較去年同期升 98.4%。政府釋出儲備米因農協壟斷成效差,米農收入微薄難維生,更引發盜米事件,暴露農業政策弊端。